“肚子三层肉,坐下就堆成游泳圈”——9月16日,北京白领王小姐在抖音晒出自己跟跳15分钟HIIT+核心打卡30天对比照,腰围从78cm缩到68cm,直...
2025-10-05 2
近日,朱女士在“腾讯热问”上发帖讲述,她今年8月带着孩子乘坐火车时,一名男乘客从上铺摔落,砸到了睡在下铺的孩子的大腿,导致孩子股骨骨折。这名男乘客虽然陪同她们去了医院,但孩子做完手术后,对方表示手头没钱,要回去筹钱。9月上旬,男子最后接了一次朱女士的电话,随后朱女士再也无法联系到对方。
朱女士的女儿在救护车上 受访者供图
列车上铺乘客跌落
砸断下铺10岁孩子腿骨
9月30日,朱女士告诉红星新闻记者,8月24日,她带着10岁的女儿乘坐列车前往杭州,她和孩子都睡在下铺。大约凌晨1点,火车即将停靠无锡站,睡梦中的朱女士突然被女儿的哭声惊醒,她看到旁边站着一名身材高大的男乘客。女儿哭得撕心裂肺,一直喊腿疼。孩子哭声很大,列车工作人员闻讯赶来后,帮朱女士联系了警方和救护车。火车停靠后,朱女士和这名男乘客一起搭乘救护车前往无锡的医院检查。
朱女士称,根据这名男乘客的讲述,火车快到无锡站时,他准备下车。从上铺下来后,他想起还有一副眼镜忘在了铺位上,于是又爬回床铺。这时候,车晃动了一下,他的手没抓稳,跌下来砸到了女孩。
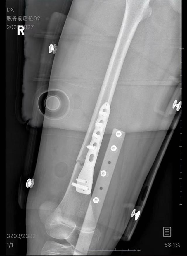
朱女士向记者出示的医院病历显示,8月24日凌晨,朱女士的女儿到医院就诊。医院诊断朱女士的女儿右股骨骨折,需要住院进一步治疗。
朱女士女儿手术后拍的X光片 受访者供图
朱女士出示的报警回执显示,8月24日凌晨2点22分,上海铁路公安处无锡站派出所接到报案。报案人称,在某列车上,快要到无锡站时,上铺的乘客下床时没抓稳,导致孩子大腿骨折。
朱女士说,起初,男乘客态度不错,陪同着母女二人到医院治疗,垫付了住院押金,为孩子买了一些护理用品。但女儿做完手术后的第二天,男乘客给朱女士发了一条信息,说他要回去筹钱。男乘客离开后,朱女士每天都会联系对方,但他几乎没有回应。大约9月上旬,男乘客接了一次电话,让朱女士把医疗票据发给他,从那之后,男乘客再也不接电话,也不回消息了。
朱女士告诉记者,女儿爱好游泳,事发前腿部没有受过伤。如今,女儿吃饭、上厕所、学习都只能平躺在床上,情绪低沉。后续的康复治疗是一个漫长的过程,不确定是否会有后遗症。她表示,她知道男乘客不是有意的,并非不能谅解对方。但如今对方既不接电话,也不回微信,这让朱女士很生气。目前,她准备通过法律途径维权。
10月4日,无锡站相关工作人员向记者表示,据其了解,朱女士的女儿确实受伤了,车站工作人员为朱女士提供了协助。10月4日,上海铁路公安处无锡站派出所告诉记者,事发当天确有接到朱女士报案,具体情况不便接受采访。同日,记者拨打当事男乘客的电话,对方未接听。
朱女士女儿的门诊病历 受访者供图
律师分析:
朱女士该如何为女儿维权?
陕西恒达律师事务所高级合伙人、公益律师赵良善认为,根据民法典第1165条规定,行为人因过错侵害他人民事权益的,应当承担侵权责任。乘客在火车上爬下上铺时,因自身没抓稳导致跌下砸伤女孩,或存在一定过错,应当对女孩的受伤承担侵权责任。
赵良善表示,根据民法典第1198条规定,公共场所的经营者、管理者未尽到安全保障义务,造成他人损害的,应当承担侵权责任。如果铁路方在列车行驶过程中,未充分履行安全保障义务,如列车行驶过程中存在异常晃动等情况,导致乘客跌下砸伤女孩,铁路方则需要承担相应的补充责任。但如果铁路方能够证明自己已尽到安全保障义务,如列车运行正常,男乘客跌下是其自身原因导致,铁路方则不需承担责任。
赵良善建议,朱女士可先与男乘客和铁路方协商解决,要求他们承担相应的医疗费用等损失。如协商不成,可以向铁路运输法院提起诉讼。与此同时,朱女士要注意保留好相关证据,如医院的诊断证明、病历、医疗费发票、列车上的监控视频、证人证言等。
赵良善指出,如果朱女士为女儿购买了铁路乘意险,或者自己购买的其他意外险包含在火车上受伤的保障范围,那么可以根据保险合同的约定向保险公司申请报销。此外,如果男乘客购买了铁路乘意险,其个人第三者责任保险部分也可对朱女士女儿的受伤进行赔偿。
河南泽槿律师事务所主任付建认为,男乘客在火车上爬下铺时没有抓稳,跌下来砸到女孩,其行为存在过错,应当承担侵权责任。
付建表示,民法典规定,承运人应当对运输过程中旅客的伤亡承担赔偿责任。但如果伤亡是旅客自身健康原因造成的,或者承运人证明伤亡是旅客故意、重大过失造成的除外。如列车行驶过程中存在异常晃动等情况,导致男乘客跌落砸伤女孩,铁路方或也应当承担相应的赔偿责任。
红星新闻记者 王语琤
(来源:红星新闻)
更多精彩资讯请在应用市场下载“极目新闻”客户端,未经授权请勿转载,欢迎提供新闻线索,一经采纳即付报酬。24小时报料热线027-86777777。
相关文章
“肚子三层肉,坐下就堆成游泳圈”——9月16日,北京白领王小姐在抖音晒出自己跟跳15分钟HIIT+核心打卡30天对比照,腰围从78cm缩到68cm,直...
2025-10-05 2
承德市,位于河北省的东北部,是一座兼具悠久历史、丰富文化底蕴和迷人自然风光的古城。作为京津冀地区的重要城市之一,承德不仅以其壮丽的自然景观和丰富的旅游...
2025-10-05 4
唐山的人啊,向来不爱夸自己。可偏偏是这样一个低调得有点“抠门”的城市,GDP愣是把河北老大哥们甩在后面。你说石家庄有省会气场,保定拿着历史说事,邯郸那...
2025-10-05 4
极目新闻记者 詹钘10月5日,陈震闪灵事故又有新进展。该事故另一涉事方家属发文,称司机老公骨折,家里还有两个孩子,四个老人需要照顾,并表示相信陈震作为...
2025-10-05 4
都说男人膝下有黄金,但这一次,小男孩跪地拦车求救,救的是他的母亲,试问,谁能不被感动?国庆节期间,全国各地迎来出游高峰,道路上更是车祸不断,10月4日...
2025-10-05 4
最近景德镇有个叫“鸡排哥”的摊主,火得那叫一个离谱,11天时间,他的抖音账号直接涨了74万多粉,热搜就没断过,连官媒都来给他打call,妥妥的“全民顶...
2025-10-05 1
近日,朱女士在“腾讯热问”上发帖讲述,她今年8月带着孩子乘坐火车时,一名男乘客从上铺摔落,砸到了睡在下铺的孩子的大腿,导致孩子股骨骨折。这名男乘客虽然...
2025-10-05 2
10月5日,山西省临汾市公安局直属分局发布警情通报:2025年10月3日12时许,邓某(男,37岁,尧都区某婚庆公司司机),驾驶车牌号为“晋LE696...
2025-10-05 3
发表评论