【本文仅在今日头条发布,谢绝转载】文|李道哲埃隆·马斯克——这位一直走在科技前沿的特斯拉CEO,竟出人意料地点赞了小鹏汽车发布的新一代IRON机器人,...
2025-11-09 21
文 | 锐观经纬
编辑 | 锐观经纬
看着保温箱里闭着眼的宝宝,不少早产儿家长可能都有过这样的慌神时刻:孩子提前几周甚至几个月来到世界,连好好抱一抱都要小心翼翼,更忍不住担心他以后会不会说话比别的孩子晚,表达不清楚怎么办。
其实这种担忧并非多余,但解决办法可能比你想的更简单:不用复杂仪器,不用昂贵药物,妈妈的声音就能帮宝宝“补”好大脑发育的关键一课。
就这么一段朗读录音,真能降低早产儿的语言困难风险吗,背后又有哪些科学依据和实操细节呢?
根据世界卫生组织(WHO)的统计数据,全球每年约有1500万婴儿提前出生,占所有新生儿的11%以上。
这些早早离开母体保护的宝宝,最关键的挑战就是错过了妊娠第三个月的大脑快速发育期。
这个阶段本是神经元增殖、突触连接建立、髓鞘化加速的黄金时期,一旦错过,后续在语言、认知和学习能力上出现缺陷的概率会显著升高。
有研究数据显示,早产儿在学龄期出现语言障碍的风险,比足月儿高出2-3倍,更让家长无奈的是,传统的新生儿重症监护(NICU)护理,大多把重点放在维持生命体征、预防感染上,对于如何主动促进神经发育,能提供的帮助相对有限。
这时候,威尔康奈尔医学院在2025年10月14日公布的一项研究成果,给很多家庭带来了新的希望。
这项由凯瑟琳·特拉维斯博士领导的研究,专门针对早产儿的“声音干预”展开,也是首个相关的随机对照试验。
研究团队选取了46名胎龄在24-31周之间的早产儿,这些宝宝都是因为早产住进NICU,需要特殊监护,实验的设计很贴合宝宝的生理特点。
研究人员知道,胎儿在24周左右就已经能听到外界声音,而且对妈妈的声音有着天然的偏好,这种偏好是在子宫里就慢慢形成的。
于是他们让妈妈们录制了自己朗读经典儿童读物《帕丁顿熊》片段的音频,之后由医护人员在每天夜间定时播放这些录音,确保实验组的宝宝每日能额外接触母亲声音平均2.7小时,这个干预过程一直持续到宝宝达到预产期为止。
这样的干预真的有效果吗?
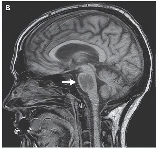
核磁共振成像(MRI)的结果给出了明确答案:接受声音干预的早产儿,在大脑左弓束区域表现出更强的神经连接和更成熟的组织结构。
可能有家长不太清楚左弓束的作用,其实它是大脑中负责语言处理的核心区域之一,就像连接语言理解和表达的“桥梁”,它的发育状况直接影响孩子未来对语言的理解能力、表达流畅度,甚至是学习新知识的效率。
也就是说,妈妈的声音通过每天的规律播放,帮宝宝的大脑提前加固了这道“语言桥梁”,为后续的语言发展打下了更扎实的基础。
为什么偏偏是妈妈的声音,而不是其他声音呢?
这背后藏着大脑发育的科学规律,首先是神经可塑性,人类大脑在生命早期的可塑性极强,能根据外界环境的刺激调整神经网络的连接模式,而声音刺激作为一种非侵入性的干预手段,能直接激活宝宝的听觉处理通路,促使相关脑区加速发育。
研究中还观察到一个重要变化:接受干预的宝宝,大脑髓鞘化程度有所增加,髓鞘是包裹在神经纤维外层的脂肪性物质,它的作用类似于电线的绝缘层,能显著提高神经信号的传导速度和效率,避免信号“漏电”或延迟。
而髓鞘化的完善程度,直接关系到大脑处理信息的质量和速度,对语言这类需要快速反应的能力来说尤为重要。
特拉维斯博士也特别强调,髓鞘形成是大脑健康发育的关键方面,尤其是在支持沟通和学习的神经通路中,研究观察到的结构变化,说明这些宝宝的大脑正在朝着更成熟的方向发展,其组织结构更接近年龄更大或发育更充分的婴儿。
更关键的是,妈妈的声音有着不可替代的生物学意义,从妊娠24周开始,胎儿在子宫里就能听到妈妈的声音,这种声音会伴随着心跳、血流等熟悉的节律,成为宝宝最早接触、也是最频繁接触的音频刺激。
长时间的宫内暴露,让妈妈的声音在宝宝的神经系统中留下了深刻的“印记”,成为最能让宝宝感到安心、也最容易被大脑捕捉和处理的听觉信息,相比其他陌生的声音,妈妈的声音能更快激活宝宝的大脑反应,干预效果自然更明显。
对家长来说,这个干预方法最大的优势就是“省心又省钱”,和需要专业操作的药物治疗、手术干预不同,录制一段朗读音频几乎没有技术门槛,妈妈在家就能完成,不需要额外花费高昂的费用。
而且整个过程是非侵入性的,几乎没有副作用风险,不会对本就脆弱的早产儿造成额外负担,这意味着,即使在医疗资源相对匮乏的发展中国家,这种干预方法也能比较容易地推广开来,让更多早产儿受益。
对早产儿家长来说,这项研究带来的不仅是一种科学的干预方法,更传递了一种温暖的陪伴方式。
在无法时刻守在宝宝身边的时候,一段充满爱意的朗读录音,既能为宝宝的大脑发育提供支持,也是妈妈与宝宝之间情感联结的纽带。
虽然目前研究还在继续,未来还有更多细节需要完善,但至少现在我们知道,用最简单、最温柔的方式,也能为早产宝宝的未来多一份守护。
等到这些后续研究成果陆续公布,我们或许能更精准地知道,如何通过声音干预,让宝宝在语言发展的道路上走得更稳、更顺,而这对每个早产儿家庭来说,都是值得期待的好消息。
相关文章
【本文仅在今日头条发布,谢绝转载】文|李道哲埃隆·马斯克——这位一直走在科技前沿的特斯拉CEO,竟出人意料地点赞了小鹏汽车发布的新一代IRON机器人,...
2025-11-09 21
2023年7月3日,王秀珍的世界突然崩塌,清晨她像往常一样准备去田里割草,可这一切都变了样。她的邻村村民熊某出现在她面前,两人之间并没有什么异常,熊某...
2025-11-09 27
1973年出生的舅舅,小时候穿着带补丁的裤子数粮票,现在天天抱着手机给孙子抢早教课优惠券。这跨度放在全人类历史上,怕是没哪代人能比70后更有体会,他们...
2025-11-09 21
把“不完美”留给对方,反而让大脑给你送拥抱。这就是哈佛2023年发现的诀窍:每周至少三次,把素颜、打喷嚏或工作骂人的表情包发给伴侣,就能让催产素分泌飙...
2025-11-09 21
11月2日,在第十五届全运会跳水项目比赛中,广东队全红婵/王伟莹夺得女子团体双人10米跳台冠军。时隔半年重返赛场,全红婵用强大的实力和超高的人气证明自...
2025-11-09 28
阅读此文之前,麻烦您点击一下“关注”,既方便您进行讨论和分享,又能给您带来不一样的参与感,感谢您的支持。本文信源来自权威报道:【《毛雪汪》节目组,纵览...
2025-11-09 23
提起大汉,人们脑海中会想起长安的博大,洛阳的繁华,会想往边塞的猎猎长风,西域的金戈铁马,有辞赋所歌咏的文治,有玉门所见证的武功,有豪迈的帝王,也有不羁...
2025-11-09 18
木叔这篇国际评论,来分析叙利亚总统沙拉访问美国。11月9日,叙利亚总统沙拉开始他就任以来的第一次访美行程,这已经创造了一个纪录,因为历史上从没有叙利亚...
2025-11-09 21
发表评论